Das Joubert Syndrom ist eine autosomal-rezessiv vererbte Entwicklungsstörung mit einer Inzidenz von ca. 1:100.000. Die klinische Symptomatik beinhaltet eine Kleinhirnwurmhypoplasie, zerebellärer Ataxie, muskulärer Hypotonie, okulo-motorischer Apraxie, neonatale Tachypnoe sowie eine mentale Retardierung und Retinadegeneration. Das JS wird auch als cerebello-okulo-renales Syndrom bezeichnet. Neben den genannten Symptomen können eine Leberfibrose, okuläre Kolobome und eine Polydaktylie auftreten. Selbst innerfamiliär findet sich ein hoher Grad an phänotypischer Variabilität.
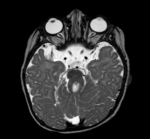
Gemeinsames pathognomonisches Kennzeichen ist das „Molar Tooth Sign“, welches sich als Folge der Kleinhirnwurmhypoplasie in der Magnetresonanztomographie findet.
Eine Nephronophthise weisen etwa 25% der Patienten mit JS auf, abhängig vom zugrundeliegenden Gendefekt. Das JS ist genetisch sehr heterogen. Aktuell sind pathogene Mutationen in 22 JS-Genen beschrieben, wobei AHI1, RPGRIP1L und CC2DA2 mit je ca. 10% am häufigsten betroffen sind.
Aufgrund von genetischen und klinischen Überlappungen ist es mitunter schwierig, das JS von anderen Ziliopathien zu unterscheiden. Für einzelne Gene konnte dabei eine Korrelation zwischen Schwere der genetischen Veränderung und klinischer Präsentation nachgewiesen werden: So führen 2 heterozygote, trunkierende Mutationen von NPHP6/CEP290 zum frühmanifesten schweren Phänotyp eines Meckel – Gruber Syndroms, während das Vorliegen mindestens einer Missense-Mutation einen milderen spätmanifesten Phänotyp mit isolierter Organbeteiligung nach sich zieht. Mutationen im NPHP1-Gen wurden ebenfalls in seltenen Fällen als Ursache eines JS identifiziert, spielen mit <2% der Fälle jedoch eine eher untergeordnete Rolle.
Joubert Syndrom - tabellarisch zusammengefasst
| Synonyme |
|
| Hauptauffälligkeiten |
|
| Ergänzende Befunde |
|
| Manifestation | Im Säuglingsalter; teilweise bereits präpartal Molar Tooth Zeichen darstellbar. |
| Häufigkeit | ca. 1:100.000 |
| Vererbung | autosomal rezessiv |
| Pathogenese | Alle Genprodukte der ursächlichen Gene sind am sog. Zilien-Zentrosomen-Komplex lokalisiert. Die exakten Pathomechanismen sind noch Gegenstand aktueller Forschung. |
| Verlauf, Prognose | In Abhängigkeit vom Vorliegen einer Nephronophthise progrediente Nierenfunktionsverschlechterung bis hin zur terminalen Niereninsuffizienz. Bei Leberbeteiligung ggf. auch Leberversagen mit Notwendigkeit einer Lebertransplantation. |
| Therapie | Keine kausale Therapie. Supportive Behandlung mit Physio- und Ergotherapie sowie Frühförderung und falls notwendig supportiver Niereninsuffizienztherapie. |
Bislang bekannte Joubert Syndrom Gene
| Krankheit | OMIM Phenotypnummer | Gen | OMIM – Gennummer | alternativer Phänotyp und OMIM Phenotypnummer | ||
| 1 | JBTS1 | 213300 | INPP5E | 613037 | JBTS1 | 213300 |
| 2 | JBTS2 | 608091 | TMEM216 | 613277 | JBTS2 | 608091 |
| MKS2 | 603194 | |||||
| 3 | JBTS3 | 608629 | AHI1 | 608894 | ||
| 4 | JBTS4 | 609583 | NPHP1 | 607100 | JBTS4 | 609583 |
| NPHP1, juvenile | 256100 | |||||
| SLSN1 | 266900 | |||||
| 5 | JBTS5 | 610188 | CEP290 | 610142 | BBS14 | 615991 |
| JBTS5 | 610188 | |||||
| LCA10 | 611755 | |||||
| MKS4 | 611134 | |||||
| SLSN6 | 610189 | |||||
| 6 | JBTS6 | 610688 | TMEM67 | 609884 | COACH syndrome | 216360 |
| JBTS6 | 610688 | |||||
| MKS3 | 607361 | |||||
| NPHP11 | 613550 | |||||
| 7 | JBTS7 | 611560 | RPGRIP1L | 610937 | COACH syndrome | 216360 |
| JBTS7 | 611560 | |||||
| MKS5 | 611561 | |||||
| 8 | JBTS8 | 612291 | ARL13B | 608922 | ||
| 9 | JBTS9 | 612285 | CC2D2A | 612013 | COACH syndrome | 216360 |
| JBTS9 | 612285 | |||||
| MKS6 | 612284 | |||||
| 10 | JBTS10 | 300804 | OFD1 | 300170 | Retinitis pigmentosa 23 | 300424 |
| JBTS10 | 300804 | |||||
| 11 | JBTS11 | 613820 | TTC21B | 612014 | NPHP12 | 613820 |
| SRTD4 | 613819 | |||||
| 12 | JBTS12 | 200990 | KIF7 | 611254 | JBTS12 | 200990 |
| 13 | JBTS13 | 614173 | TCTN1 | 609863 | ||
| 14 | JBTS14 | 614424 | TMEM237 | 614423 | ||
| 15 | JBTS15 | 614464 | CEP41 | 610523 | ||
| 16 | JBTS16 | 614465 | TMEM138 | 614459 | ||
| 17 | JBTS17 | 614615 | C5orf42 | 614571 | JBTS17 | 614615 |
| 18 | JBTS18 | 614815 | TCTN3 | 613847 | ||
| 19 | JBTS19 | 614844 | ZNF423 | 604557 | NPHP14 | 614844 |
| 20 | JBTS20 | 614970 | TMEM231 | 614949 | MKS11 | 615397 |
| 21 | JBTS21 | 615636 | CSPP1 | 611654 | ||
| 22 | JBTS22 | 615665 | PDE6D | 602676 | ||
| 23 | JBTS23 | 616490 | KIAA0586 | 610178 | SRTD14 | 616546 |
| 24 | JBTS24 | 616654 | TCTN2 | 613846 | ?MKS8 | 613885 |
| 25 | JBTS25 | 616781 | CEP104 | 616690 | ||
| 26 | JBTS26 | 616784 | KATNIP | 616650 | ||
| 27 | JBTS27 | 617120 | B9D1 | 614144 | MKS9 | 614209 |
| 28 | JBTS28 | 617121 | MKS1 | 609883 | BBS13 | 615990 |
| MKS1 | 249000 | |||||
| 29 | JBTS29 | 617562 | TMEM107 | 616183 | MKS13 | 617562 |
| 30 | JBTS30 | 617622 | ARMC9 | 617612 | ||
| 31 | JBTS31 | 617761 | CEP120 | 613446 | SRTD13 | 616300 |
| 32 | JBTS32 | 617757 | SUFU | 607035 | JBTS32 | 617757 |
| 33 | JBTS33 | 617767 | PIBF1 | 607532 | ||
| 34 | JBTS34 | 614175 | B9D2 | 611951 | MKS10 | 614175 |
(01/2018)
Quellen:
- Romani M, Micalizzi A, Valente EM. Joubert syndrome: congenital cerebellar ataxia with the molar tooth. Lancet Neurol. 2013;12:894–905.
